|
1781年Trontana发现于鱼类细胞,1831年,Brown发现于植物。成熟的植物筛管和哺乳类红细胞没有细胞核。
在原核细胞中,DNA集中,但无核膜包围,故称拟核(nucleiod)。核一般呈圆形,但因生物的种类而异。在旺盛分裂的组织中,核呈圆形,在长形细胞中多呈椭圆形,在扁平细胞中多为扁圆形,在蛾蝶类的丝腺细胞中为分枝状,在胚乳细胞中呈网状。
细胞核的大小与细胞大小有关,最小的核直径不足1μm,而最大的核如苏铁科某些植物卵细胞核直径可达500~600μm。植物细胞核的直径通常在1~4μm左右,动物为10μm左右。在同一种生物,由于遗传物质的含量是恒定的,因此核的大小也比较恒定。常以核质比来估算核的大小NP≈0.5,分裂期细胞NP>0.5,衰老细胞NP<0.5。

通常一个细胞一个核,肝细胞和心肌细胞可有双核,破骨细胞可有6~50个细胞核,骨骼肌细胞可有数百个核;高等植物的毡绒层可有2~4个核。
正在生长的细胞中,核位于细胞中央,在分化成熟的细胞中,常因细胞内含物或特殊结构的存在,核被挤到边缘。
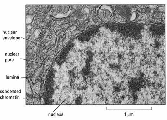
细胞核的主要结构包括:①核被膜(nuclear envelope)、②核仁(nucleolus)、③核基质(nuclear matrix)、④染色质(chromatin)、⑤核纤层(nuclear lamina)等部分(图12-1)。

图12-1
细胞核的结构,n为核仁,N为常染色质
细胞核的主要功能有两个方面:①遗传和②发育。前者表现为通过DNA染色体的复制和细胞分裂,维持物种的世代连续性。后者表现为通过调节基因表达的时空顺序,控制细胞的分化,完成个体发育的使命。
第一节 核被膜
是包在核外的双层膜结构。它将DNA与细胞质分隔开,形成核内特殊的微环境,保护DNA分子免受损伤;使 DNA的复制和RNA的翻译表达在时空上分隔开来;此外染色体定位于核膜上,有利于解旋、复制、凝缩、平均分配到子核,核被膜还是核质物质交换的通道。
一、核被膜是双层膜结构
核被膜由内核膜(inner nuclear membrane)、外核膜(outer nuclear membrane)和核周隙(perinuclear space)三部分构成。核被膜上有核孔与细胞质相通(图12-2、3)。
外核膜胞质面附有核糖体,并与内质网相连,核周隙与内质网腔相通,可以说是内质网的一部分。外核膜上附着10nm的中间纤维intermediate filament,可见核是被内质网和中间纤维相对固定的。
核周隙宽20~40nm,腔内电子密度低,一般不含固定的结构。
内核膜的内表面有一层网络状纤维蛋白质,叫核纤层(nuclear lamina),可支持核膜(图12-3、4)。

图12-2
核被膜的TEM照片

图12-3
核被膜的结构
核纤层由核纤肽(lamin)构成,核纤肽分子量约60~80KD,是一类中间纤维,在哺乳类和鸟类中可分为A、B两型。
核纤层的作用有以下两个方面:
1.保持核的形态:是核被膜的支架,用高盐溶液、非离子去污剂和核酸酶去除大部分核物质,剩余的核纤层仍能维持核的轮廓。此外,核纤层与核骨架以及穿过核被膜的中间纤维相连,使胞质骨架和核骨架形成一连续网络结构。
2.参与染色质和核的组装:核纤层在细胞分裂时呈现出周期性的变化,在间期核中,核纤层提供了染色质(异染色质)在核周边锚定的位点。在前期结束时,核纤层被磷酸化,核膜解体。其中B型核纤肽与核膜残余小泡结合,A型溶于胞质中。在分裂末期,核纤肽去磷酸化重新组装,介导了核膜的重建。

图12-4
核纤层结构
二、核孔是物质运输的通道
核孔是细胞核与细胞质之间物质交换的通道,一方面核的蛋白都是在细胞质中合成的,通过核孔定向输入细胞核,另一方面细胞核中合成的各类RNA、核糖体亚单位需要通过核孔运到细胞质。此外注射实验证明,小分子物质能够以自由扩散的方式通过核孔进入细胞核。
核孔由至少50种不同的蛋白质(nucleoporin)构成,称为核孔复合体(nuclear pore complex,NPC)。一般哺乳动物细胞平均有3000个核孔。细胞核活动旺盛的细胞中核孔数目较多,反之较少。如蛙卵细胞每个核可有37.7X106个核孔,但其成熟后细胞核仅150~300个核孔。

图12-4
抽提后核孔胞质面的结构

图12-5
抽提后核孔核质面的结构
在电镜下观察,核孔是呈圆形或八角形(图12-4、5),一般认为其结构如fish-trap,主要包括以下几个部分:①胞质环(cytoplasmic ring),位于核孔复合体胞质一侧,环上有8条纤维伸向胞质;②核质环(nuclear ring),位于核孔复合体核质一侧,上面伸出8条纤维,纤维端部与端环相连,构成笼子状的结构;③转运器(transporter),核孔中央的一个栓状的中央颗粒;④辐(Spoke):核孔边缘伸向核孔中央的突出物(图12-6)。

图12-6
核孔结构模型
三、通过核孔的物质运输与信号序列有关
1982年R. Laskey发现核内含量丰富的核质蛋白(nucleoplasmin)的C端有一个信号序列,可引导蛋白质进入细胞核(图12-7),称作核定位信号(nuclear localization signal,NLS)。第一个被确定的NLS是病毒SV40的T抗原,它在胞质中合成后很快积累在核中。其NLS为:pro-pro-lys-lys-lys-Arg-Lys-val,即使单个氨基酸被替换,亦失去作用。

图12-7
金标记的核质素穿越核孔
NLS由4-8个氨基酸组成,含有Pro、Lys和Arg。对其连接的蛋白质无特殊要求,并且完成核输入后不被切除。
Karyopherin是一类与核孔选择性运输有关的蛋白家族,相当于受体蛋白。其中imporin负责将蛋白从细胞质运进细胞核,exportin负责相反方向的运输。
通过核孔复合体的转运还涉及Ran蛋白,Ran是一种G蛋白,调节货物受体复合体的组装和解体,在细胞核内Ran-GTP的含量远高于细胞质。
核质蛋白向细胞核的输入可描述如下:①蛋白与NLS受体,即imporin α/β二聚体结合;②货物与受体的复合物与NPC胞质环上的纤维结合;③纤维向核弯曲,转运器构象发生改变,形成亲水通道,货物通过;④货物受体复合体与Ran-GTP结合,复合体解散,释放出货物;⑤与Ran-GTP结合的imporin β,输出细胞核,在细胞质中Ran结合的GTP水解,Ran-GDP返回细胞核重新转换为Ran-GTP;⑥imporin α在核内exportin的帮助下运回细胞质(图12-8)。

图12-8
核质素输入细胞核的过程
对细胞核向细胞质的大分子输出了解较少,大多数情况下,细胞核内的RNA是与蛋白质形成RNP复合物转运出细胞核的。RNP的蛋白质上具有核输出信号(nuclear export signal, NES),可与细胞内的受体exportin结合,形成RNP-exportin-Ran-GTP复合体,输出细胞核后,Ran-GTP水解,释放出结合的RNA,Ran-GDP、exportin和RNP蛋白返回细胞核。 |