第七章 线粒体与叶绿体
1890年R. Altaman首次发现线粒体,命名为bioblast,以为它可能是共生于细胞内独立生活的细菌。
1898年Benda首次将这种颗命名为mitochondrion。
1900年L. Michaelis用Janus
Green B对线粒体进行染色,发现线粒体具有氧化作用。
Green(1948)证实线粒体含所有三羧酸循环的酶,Kennedy和Lehninger(1949)发现脂肪酸氧化为CO2的过程是在线粒体内完成的,Hatefi等(1976)纯化了呼吸链四个独立的复合体。Mitchell(1961-1980)提出了氧化磷酸化的化学偶联学说。
线粒体一般呈粒状或杆状,但因生物种类和生理状态而异,可呈环形,哑铃形、线状、分杈状或其它形状。主要化学成分是蛋白质和脂类,其中蛋白质占线粒体干重的65-70%,脂类占25-30%。
一般直径0.5~1μm,长1.5~3.0μm,在胰脏外分泌细胞中可长达10~20μm,称巨线粒体。
数目一般数百到数千个,植物因有叶绿体的缘故,线粒体数目相对较少;肝细胞约1300个线粒体,占细胞体积的20%;单细胞鞭毛藻仅1个,酵母细胞具有一个大型分支的线粒体,巨大变形中达50万个;许多哺乳动物成熟的红细胞中无线粒体。
通常结合在维管上,分布在细胞功能旺盛的区域。如在肝细胞中呈均匀分布,在肾细胞中靠近微血管,呈平行或栅状排列,肠表皮细胞中呈两极性分布,集中在顶端和基部,在精子中分布在鞭毛中区。线粒体在细胞质中可以向功能旺盛的区域迁移,微管是其导轨,由马达蛋白提供动力。
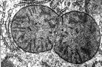
线粒体由内外两层膜封闭,包括外膜、内膜、膜间隙和基质四个功能区隔(图7-1、7-2)。在肝细胞线粒体中各功能区隔蛋白质的含量依次为:基质67%,内膜21%,外8%膜,膜间隙4%。

图7-1线粒体的TEM照片

图7-2线粒体结构模型
1、外膜 (out membrane)
含40%的脂类和60%的蛋白质,具有孔蛋白(porin)构成的亲水通道,允许分子量为5KD以下的分子通过,1KD以下的分子可自由通过。标志酶为单胺氧化酶。
2、内膜 (inner membrane)
含100种以上的多肽,蛋白质和脂类的比例高于3:1。心磷脂含量高(达20%)、缺乏胆固醇,类似于细菌。通透性很低,仅允许不带电荷的小分子物质通过,大分子和离子通过内膜时需要特殊的转运系统。如:丙酮酸和焦磷酸是利用H+梯度协同运输。
线粒体氧化磷酸化的电子传递链位于内膜,因此从能量转换角度来说,内膜起主要的作用。内膜的标志酶为细胞色素C氧化酶。
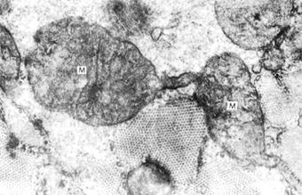
内膜向线粒体基质褶入形成嵴(cristae),嵴能显著扩大内膜表面积(达5~10倍),嵴有两种类型:①板层状(图7-1)、②管状(图7-3),但多呈板层状。

图7-3 管状嵴线粒体
嵴上覆有基粒(elementary particle),基粒由头部(F1偶联因子)和基部(F0偶联因子)构成,F0嵌入线粒体内膜。
3、膜间隙(intermembrane space)
是内外膜之间的腔隙,延伸至嵴的轴心部,腔隙宽约6-8nm。由于外膜具有大量亲水孔道与细胞质相通,因此膜间隙的pH值与细胞质的相似。标志酶为腺苷酸激酶。
4、基质(matrix)
为内膜和嵴包围的空间。除糖酵解在细胞质中进行外,其他的生物氧化过程都在线粒体中进行。催化三羧酸循环,脂肪酸和丙酮酸氧化的酶类均位于基质中,其标志酶为苹果酸脱氢酶。
基质具有一套完整的转录和翻译体系。包括线粒体DNA(mtDNA),70S型核糖体,tRNAs 、rRNA、DNA聚合酶、氨基酸活化酶等。
基质中还含有纤维丝和电子密度很大的致密颗粒状物质,内含Ca2+、Mg2+、Zn2+等离子。
呼吸链电子载体主要有:黄素蛋白、细胞色素、铜原子、铁硫蛋白、辅酶Q等。
1.
NAD
即烟酰胺嘌呤二核苷酸(nicotinamide adenine dinucleotide,图7-4),是体内很多脱氢酶的辅酶,连接三羧酸循环和呼吸链,其功能是将代谢过程中脱下来的氢交给黄素蛋白。

图7-4 NAD的结构和功能(NAD+:R=H,NADP+:R=-PO3H2)
2.
黄素蛋白:含FMN(图7-5)或FAD(图7-6)的蛋白质,每个FMN或FAD可接受2个电子2个质子。呼吸链上具有FMN为辅基的NADH脱氢酶,以FAD为辅基的琥珀酸脱氢酶。

图7-5
FMN (flavin mononucleotide) 的分子结构

图7-6 FAD
( flavin adenine dinucleotide)的分子结构
3.
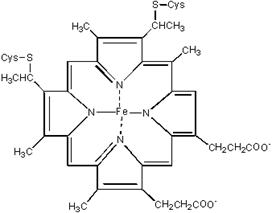
细胞色素:分子中含有血红素铁(图7-7),以共价形式与蛋白结合,通Fe3+、Fe2+形式变化传递电子,呼吸链中有5类,即:细胞色素a、a3、b、c、c1,其中a、a3含有铜原子。

图7-7 血红素c的结构
4.
三个铜原子:位于线粒体内膜的一个蛋白质上,形成类似于铁硫蛋白的结构,通过Cu2+、Cu1+的变化传递电子。
5.
铁硫蛋白:在其分子结构中每个铁原子和4个硫原子结合,通过Fe2+、Fe3+互变进行电子传递,有2Fe-2S和4Fe-4S两种类型(图7-8)。

图7-8 铁硫蛋白的结构((引自Lodish等1999))
6.
辅酶Q:是脂溶性小分子量的醌类化合物,通过氧化和还原传递电子(图7-9)。有3种氧化还原形式即氧化型醌Q,还原型氢醌(QH2)和介于两者之者的自由基半醌(QH)。

图7-9 辅酶Q
利用脱氧胆酸(deoxycholate,一种离子型去污剂)处理线粒体内膜、分离出呼吸链的4种复合物,即复合物Ⅰ、Ⅱ、Ⅲ和Ⅳ,辅酶Q和细胞色素C不属于任何一种复合物。辅酶Q溶于内膜、细胞色素C位于线粒体内膜的C侧,属于膜的外周蛋白。
1、复合物Ⅰ
即NADH脱氢酶,哺乳动物的复合物Ⅰ由42条肽链组成,呈L型,含有一个FMN和至少6个铁硫蛋白,分子量接近1MD,以二聚体形式存在,其作用是催化NADH的2个电子传递至辅酶Q,同时将4个质子由线粒体基质(M侧)转移至膜间隙(C侧)。电子传递的方向为:NADH→FMN→Fe-S→Q,总的反应结果为:
NADH + 5H+M
+ Q→NAD+ + QH2 + 4H+C
2、复合物Ⅱ
即琥珀酸脱氢酶,至少由4条肽链组成,含有一个FAD,2个铁硫蛋白,其作用是催化电子从琥珀酸转至辅酶Q,但不转移质子。电子传递的方向为:琥珀酸→FAD→Fe-S→Q。反应结果为:
琥珀酸+Q→延胡索酸+QH2
3、复合物 Ⅲ
即细胞色素c还原酶,由至少11条不同肽链组成,以二聚体形式存在,每个单体包含两个细胞色素b(b562、b566)、一个细胞色素c1和一个铁硫蛋白。其作用是催化电子从辅酶Q传给细胞色素c,每转移一对电子,同时将4个质子由线粒体基质泵至膜间隙。总的反应结果为:
2还原态cyt c1 + QH2 +
2 H+M→2氧化态cyt c1
+ Q+ 4H+C
复合物Ⅲ的电子传递比较复杂,和“Q循环”有关(图7-10)。辅酶Q能在膜中自由扩散,在内膜C侧,还原型辅酶Q(氢醌) 将一个电子交给Fe-S→细胞色素c1→细胞色素c,被氧化为半醌,并将一个质子释放到膜间隙,半醌将电子交给细胞色素b566→b562,释放另外一个质子到膜间隙。细胞色素b566得到的电子为循环电子,传递路线为:半醌→b566→b562→辅酶Q。在内膜M侧,辅酶Q可被复合体Ⅰ(复合体Ⅱ)或细胞色素b562还原为氢醌。一对电子由辅酶Q到复合物Ⅲ的电子传递过程中,共有四个质子被转移到膜间隙,其中两个质子是辅酶Q转移的。

图7-10 Q循环示意图 引自Lodish等1999
4、复合物
Ⅳ
即细胞色素c氧化酶,以二聚体形式存在,其作用是将从细胞色素c接受的电子传给氧,每转移一对电子,在基质侧消耗2个质子,同时转移2个质子至膜间隙。每个单体由至少13条不同的肽链组成,分为三个亚单位:亚单位I(subunit I):包含两个血红素(a1、a3)和一个铜离子(CuB),血红素a3和CuB形成双核的Fe-Cu中心。亚单位Ⅱ(subunit Ⅱ),包含两个铜离子(CuA)构成的双核中心,其结构与2Fe-2S相似。亚单位Ⅲ(subunit Ⅲ)的功能尚不了解。电子传递的路线为:cyt c→CuA→heme
a→a3- CuB→O2,总的反应结果为:
4还原态cyt c + 8 H+M + O2→4氧化态cyt c + 4H+C +
2H2O
(三)两条主要的呼吸链
复合物Ⅰ、Ⅲ、Ⅳ组成主要的呼吸链,催化NADH的脱氢氧化,复合物Ⅱ、Ⅲ、Ⅳ组成另一条呼吸链,催化琥珀酸的脱氢氧化(图7-11)。对应于每个复合物Ⅰ,大约需要3个复合物Ⅲ,7个复合物Ⅳ,任何两个复合物之间没有稳定的连接结构,而是由辅酶Q和细胞色素c这样的可扩散性分子连接。
呼吸链各组分有序,使电子按氧化还原电位从低向高传递,能量逐级释放,呼吸链中的复合物Ⅰ、Ⅲ、Ⅳ都是质子泵,可将质子有机质转移到膜间隙,形成质子动力势(proton-motive force),驱动ATP的合成,实验证明人为提高线粒体膜间隙的质子浓度,能使线粒体合成ATP。

图7-11 两条主要的呼吸链(引自Lodish等1999)
呼吸链组分及ATP酶在线粒体内膜上呈不对称分布,如细胞色素C位于线粒体内膜的C侧(向细胞质的一侧),而ATP酶位于内膜的M侧(向线粒体基质的一侧)。
对于呼吸链组分在内膜上的分布主要依靠用亚线粒体颗粒和冰冻能刻电镜技术来研究。
将线粒体用超声波破碎,线粒体内膜碎片可形成颗粒朝外的小膜泡,称亚线粒体小泡或亚线粒体颗粒,这种小泡具有正常的电子传递和磷酸化的功能。用细胞色素c的抗体能够抑制完整线粒体的氧化磷酸化,但不能抑制亚线粒体颗粒的氧化磷酸化,说明细胞色素c位于线粒体内膜的C侧。
(一)质子动力势
Mitchell P.1961提出“化学渗透假说(Chemiosmotic Hypothesis)”,70年代关于化学渗透假说取得大量实验结果的支持,成为一种较为流行的假说,Mitchell本人也因此获得1978年诺贝尔化学奖。

图7-12 化学渗透学说
根据“化学渗透假说”,当电子沿呼吸链传递时,所释放的能量将质子从内膜基质侧(M侧)泵至膜间隙(胞质侧或C侧),由于线粒体内膜对离子是高度不通透的,从而使膜间隙的质子浓度高于基质,在内膜的两侧形成pH梯度(△pH)及电位梯度(Ψ),两者共同构成电化学梯度(图7-12),即质子动力势(△P)。
△P=Ψ-(2.3RT/F)△pH
其中T为绝对温度,R为气体常数,F为法拉第常数。大量实验表明,当温度为25℃时△P=Ψ-59△pH,△P的值为220mV左右。
质子沿电化学梯度穿过内膜上的ATP酶复合物流回基质,使ATP酶的构象发生改变,将ADP和Pi合成ATP。
(二)ATP合酶的结构和作用机理
ATP合酶(ATP synthetase, 图7-13),分子量500KD,状如蘑菇。分为球形的F1(头部)和嵌入膜中的F0(基部),它可以利用质子动力势合成ATP,也可以水解ATP,转运质子,属于F型质子泵。每个肝细胞线粒体通常含15000个ATP合酶、每个酶每秒钟可产生100个ATP。
F1由5种多肽组成α3β3γδε复合体,具有三个ATP合成的催化位点(每个β亚基具有一个)。α和β单位交替排列,状如桔瓣。γ贯穿αβ复合体(相当于发电机的转子),并与F0接触,ε帮助γ与F0结合。δ与F0的两个b亚基形成固定αβ复合体的结构(相当于发电机的定子)。

图7-13 ATP合酶的结构(引自Lodish等1999)
F0由三种多肽组成ab2c12复合体,嵌入内膜,12个c亚基组成一个环形结构,具有质子通道,可使质子由膜间隙流回基质。
1979年代Boyer P提出构象耦联假说,一些有力的实验证据使这一学说得到广泛的认可。其要点如下:
1.ATP酶利用质子动力势,产生构象的改变,改变与底物的亲和力,催化ADP与Pi形成ATP(图7-14)。
2.F1具有三个催化位点,但在特定的时间,三个催化位点的构象不同、因而与核苷酸的亲和力不同。在L构象(loose),ADP、 Pi与酶疏松结合在一起;在T构象(tight)底物(ADP、 Pi)与酶紧密结合在一起,在这种情况下可将两者加合在一起;在O构象(open)ATP与酶的亲和力很低,被释放出去。
3.质子通过F0时,引起c亚基构成的环旋转,从而带动γ亚基旋转,由于γ亚基的端部是高度不对称的,它的旋转引起β亚基3个催化位点构象的周期性变化(L、T、O),不断将ADP和Pi加合在一起,形成ATP。

图7-14 ATP合酶三种构象的交替改变(引自Lodish等1999)
支持构象耦联假说的实验有:
1.日本的吉田(Massasuke Yoshida)等人将α3β3γ固定在玻片上,在γ亚基的顶端连接荧光标记的肌动蛋白纤维,在含有ATP的溶液中温育时,在显微镜下可观察到γ亚基带动肌动蛋白纤维旋转(图7-15)。

图7-15
γ亚基旋转的观察(引自Lodish等1999)
2.在另外一个实验中,将荧光标记的肌动蛋白连接到ATP合酶的F0亚基上,在ATP存在时同样可以观察到肌动蛋白的旋转。
(三)氧化磷酸化抑制剂
1.电子传递抑制剂
抑制呼吸链的电子传递。包括以下类型:
①
抑制NADH→CoQ的电子传递。如:阿米妥(amytal)、鱼藤酮(rotenone)、杀粉蝶素A(piericidin)。
②
抑制Cyt b→Cyt c1的电子传递。如:抗霉素A(antinomycin A)。
③
抑制细胞色素氧化酶→O2。如:CO、CN、NaN3、H2S。
电子传递抑制剂可用来研究呼吸链各组分的排列顺序,当呼吸链某一特定部位被抑制后,底物一侧均为还原状态,氧一侧均为氧化态,可用分光光度计检测,因为电子传递链组分氧化态和还原态具有不同的吸收峰。
2.磷酸化抑制剂
与F0结合结合,阻断H+通道,从而抑制ATP合成。如:寡霉素(oligomycin)、二环己基碳化二亚胺(dicyclohexyl carbodiimide,DCC):
3.解偶联剂(uncoupler)
使氧化和磷酸化脱偶联,氧化仍可以进行,而磷酸化不能进行,解偶联剂为离子载体或通道,能增大线粒体内膜对H+的通透性,消除H+梯度,因而无ATP生成,使氧化释放出来的能量全部以热的形式散发。动物棕色脂肪组织和肌肉线粒体中有独特的解偶联蛋白(uncoupling proteins, UCPs),与维持体温有关。常用解偶联剂主要有:
质子载体: 2,4-二硝基酚(DNP,图7-16),羰基-氰-对-三氟甲氧基苯肼(FCCP)。
质子通道:增温素(thermogenin)。
其它离子载体:如缬氨霉素。
某些药物:如过量的阿斯匹林也使氧化磷酸化部分解偶联,从而使体温升高。

图7-16 DNP分子结构
1963年M. 和 S. Nass发现线粒体DNA(mtDNA)后,人们又在线粒体中发现了RNA、DNA聚合酶、RNA聚合酶、tRNA、核糖体、氨基酸活化酶等进行DNA复制、转录和蛋白质翻译的全套装备,说明线粒体具有独立的遗传体系。
虽然线粒体也能合成蛋白质,但是合成能力有限。线粒体1000多种蛋白质中,自身合成的仅十余种。线粒体的核糖体蛋白、氨酰tRNA 合成酶、许多结构蛋白, 都是核基因编码,
在细胞质中合成后,定向转运到线粒体的,因此称线粒体为半自主细胞器。
利用标记氨基酸培养细胞,用氯霉素和放线菌酮分别抑制线粒体和细胞质蛋白质合成的方法,发现人的线粒体DNA编码的多肽为细胞色素c氧化酶的3个亚基,F0的2个亚基,NADH脱氢酶的7个亚基和细胞色素b等13条多肽。此外线粒体DNA还能合成12S和16SrRNA及22种tRNA。
mtDNA分子为环状双链DNA分子,外环为重链(H),内环为轻链(L )。基因排列非常紧凑,除与mtDNA复制及转录有关的一小段区域外,无内含子序列。每个线粒体含数个m tDNA,动物m tDNA 约16-20kb,大多数基因由H链转录, 包括2个rRNA , 14个tRNA 和12个编码多肽的mRNA , L链编码另外8个tRNA和一条多肽链。mtDNA上的基因相互连接或仅间隔几个核苷酸序列, 一些多肽基因相互重叠, 几乎所有阅读框都缺少非翻译区域。很多基因没有完整的终止密码, 而仅以T或TA 结尾,mRNA的终止信号是在转录后加工时加上去的。
线粒体在形态,染色反应、化学组成、物理性质、活动状态、遗传体系等方面,都很像细菌,所以人们推测线粒体起源于内共生。按照这种观点,需氧细菌被原始真核细胞吞噬以后,有可能在长期互利共生中演化形成了现在的线粒体。在进化过程中好氧细菌逐步丧失了独立性,并将大量遗传信息转移到了宿主细胞中,形成了线粒体的半自主性。
线粒体遗传体系确实具有许多和细菌相似的特征,如:①DNA为环形分子,无内含子;②核糖体为70S型;③RNA聚合酶被溴化乙锭抑制不被放线菌素D所抑制;④tRNA、氨酰基-tRNA合成酶不同于细胞质中的;⑤蛋白质合成的起始氨酰基tRNA是N-甲酰甲硫氨酰tRNA,对细菌蛋白质合成抑制剂氯霉素敏感对细胞质蛋白合成抑制剂放线菌酮不敏感。
此外哺乳动物mtDNA的遗传密码与通用遗传密码有以下区别:①UGA不是终止信号,而是色氨酸的密码;②多肽内部的甲硫氨酸由AUG和AUA两个密码子编码,起始甲硫氨酸由AUG,AUA,AUU和AUC四个密码子编码;③AGA,AGG不是精氨酸的密码子,而是终止密码子,线粒体密码系统中有4个终止密码子(UAA,UAG,AGA,AGG)。
mtDNA表现为母系遗传。其突变率高于核DNA,并且缺乏修复能力。有些遗传病,如Leber遗传性视神经病,肌阵挛性癫痫等均与线粒体基因突变有关。
线粒体的增殖是通过已有的线粒体的分裂,有以下几种形式:
1、间壁分离(图7-17),分裂时先由内膜向中心皱褶,将线粒体分类两个,常见于鼠肝和植物产生组织中。

图7-17 线粒体的间壁分裂
2、收缩后分离(图7-18),分裂时通过线粒体中部缢缩并向两端不断拉长然后分裂为两个,见于蕨类和酵母线粒体中。

图7-18 线粒体的收缩分裂
3、出芽,见于酵母和藓类植物,线粒体出现小芽,脱落后长大,发育为线粒体。