|
第五节 溶酶体与过氧化物酶体
一、溶酶体的结构
1955年de
Duve与Novikoff首次发现溶酶体(lysosome)。它是单层膜围绕、内含多种酸性水解酶类的囊泡状细胞器,其主要功能是进行细胞内消化。
具有异质性,形态大小及内含的水解酶种类都可能有很大的不同,标志酶为酸性磷酸酶。根据完成其生理功能的不同阶段可分为初级溶酶体(primary lysosome),次级溶酶体(secondary lysosome)和残体(residual body)。
1、初级溶酶体
直径约0.2~0.5um膜厚7.5nm,内含物均一,无明显颗粒,是高尔基体分泌形成的(图6-27)。含有多种水解酶,但没有活性,只有当溶酶体破裂,或其它物质进入,才有酶活性。其水解酶包括蛋白酶,核酸酶、脂酶、磷酸酶、硫酸酯酶、磷脂酶类,已知60余种,这些酶均属于酸性水解酶,反应的最适PH值为5左右,溶酶体膜虽然与质膜厚度相近,但成分不同,主要区别是:①膜有质子泵,将H+泵入溶酶体,使其PH值降低。②膜蛋白高度糖基化,可能有利于防止自身膜蛋白降解。

图6-27 初级溶酶体 引自http://www.uni-mainz.de
2、次级溶酶体
这些都是消化泡(图6-28),正在进行或完成消化作用的溶酶体,内含水解酶和相应的底物,可分为异噬溶酶体(phagolysosome)和自噬溶酶体(autophagolysosome),前者消化的物质来自外源,后者消化的物质来自细胞本身的各种组分。

图6-28 次级溶酶体 引自http://www.uni-mainz.de
3、残体
又称后溶酶体(post-lysosome)已失去酶活性,仅留未消化的残渣故名,残体可通过外排作用排出细胞,也可能留在细胞内逐年增多,如肝细胞中的脂褐质(图6-29)。

图6-29 肝细胞中的脂褐质 引自《细胞生物学超微结构图谱》1989
二、溶酶体的功能
溶酶体的主要作用消化作用,是细胞内的消化器官,细胞自溶,防御以及对某些物质的利用均与溶酶体的消化作用有关。
细胞内消化:对高等动物而言细胞的营养物质主要来源于血液中的水分子物质,而一些大分子物质通过内吞作用进入细胞,如内吞低密脂蛋白获得胆固醇,对一些单细胞真核生物,溶酶体的消化作用就更为重要了。
细胞凋亡:个体发生过程中往往涉及组织或器官的改造或重建,如昆虫和蛙类的变态发育等等。这一过程是在基因控制下实现的,称为程序性细胞死亡,注定要消除的细胞以出芽的形式形成凋亡小体,被巨噬细胞吞噬并消化。
自体吞噬:清除细胞中无用的生物大分子,衰老的细胞器等,如许多生物大分子的半衰期只有几小时至几天,肝细胞中线粒体的平均寿命约10天左右。
防御作用:如巨噬细胞可吞入病原体,在溶酶体中将病原体杀死和降解。
参与分泌过程的调节,如将甲状腺球蛋白降解成有活性的甲状腺素。
形成精子的顶体:顶体相当于一个化学钻,可溶穿卵子的皮层,使精子进入卵子。
三、溶酶体的发生
初级溶酶体是在高尔基体的trans面以出芽的形式形成的,其形成过程如下。
内质网上核糖体合成溶酶体蛋白→进入内质网腔进行N-连接的糖基化修饰→进入高尔基体Cis面膜囊→N-乙酰葡糖胺磷酸转移酶识别溶酶体水解酶的信号斑→将N-乙酰葡糖胺磷酸转移在1~2个甘露糖残基上→在中间膜囊切去N-乙酰葡糖胺形成M6P配体→与trans膜囊上的受体结合→选择性地包装成初级溶酶体。
四、溶酶体与疾病
1.矽肺
二氧化硅尘粒(矽尘)吸入肺泡后被巨噬细内吞噬,含有矽尘的吞噬小体与溶酶体合并成为次级溶酶体。二氧化硅的羟基与溶酶体膜的磷脂或蛋白形成氢键,导致吞噬细胞溶酶体崩解,细胞本身也被破坏,矽尘释出,后又被其他巨噬细内吞噬,如此反复进行。受损或已破坏的巨噬细胞释放“致纤维化因子”,并激活成纤维细胞,导致胶原纤维沉积,肺组织纤维化。
2.肺结核
结核杆菌不产生内、外毒素,也无荚膜和侵袭性酶。但是菌体成分硫酸脑苷脂能抵抗胞内的溶菌杀伤作用,使结核杆菌在肺泡内大量生长繁殖,导致巨噬细胞裂解,释放出的结核杆菌再被吞噬而重复上述过程,最终引起肺组织钙化和纤维化。
3.各类贮积症
贮积症(storage disease)是由于遗传缺陷引起的,由于溶酶体的酶发生变异,功能丧失,导致底物在溶酶体中大量贮积,进而影响细胞功能,常见的贮积症主要有以下几类。
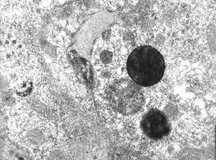
台-萨氏综合征(Tay-Sachs diesease):要叫黑蒙性家族痴呆症,溶酶体缺少氨基已糖酯酶A(β-N-hexosaminidase),导致神经节甘脂GM2积累(图6-30),影响细胞功能,造成精神痴呆,2~6岁死亡。患者表现为渐进性失明、病呆和瘫痪,该病主要出现在犹太人群中。

图6-30 台-萨氏综合征神经元中同心圆状的溶酶体 引自《细胞生物学超微结构图谱》1989
II型糖原累积病(Pompe病):溶酶体缺乏α-1,4-葡萄糖苷酶,糖原在溶酶体中积累,导致心、肝、舌肿大和骨骼肌无力。属常染色体缺陷性遗传病,患者多为小孩,常在两周岁以前死亡。
Gaucher病:又称脑苷脂沉积病,是巨噬细胞和脑神经细胞的溶酶体缺乏β- 葡萄糖苷酶造成的。大量的葡萄糖脑苷脂沉积在这些细胞溶酶体内,巨噬细胞变成Gaucher 细胞,患者的肝、脾、淋巴结等肿大,中枢神经系统发生退行性变化,常在1 岁内死亡。
细胞内含物病(inclusion-cell disease,I-cell disease):一种更严重的贮积症,是N-乙酰葡糖胺磷酸转移酶单基因突变引起的。由于基因突变,高尔基体中加工的溶酶体前酶上不能形成M6P分选信号,酶被运出细胞(default pathway)。这类病人成纤维细胞的溶酶体中没有水解酶,导致底物在溶酶体中大量贮积,形成所谓的“包涵体(inclusion)”。另外这类病人肝细胞中有正常的溶酶体,说明溶酶体形成还具有M6P之外的途径。
4.类风湿性关节炎
溶酶体膜很易脆裂,其释放的酶导致关节组织损伤和发炎 。
五、过氧化物酶体
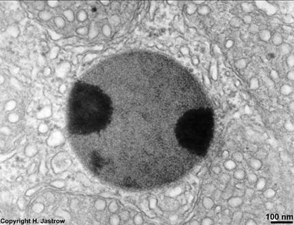
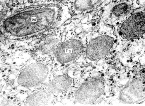
过氧化物酶体(peroxisome)又称微体(microbody),由J. Rhodin(1954)首次在鼠肾小管上皮细胞中发现。是一种具有异质性的细胞器,在不同生物及不同发育阶段有所不同。直径约0.2~1.5um,通常为0.5um,呈圆形,椭圆形或哑呤形不等,由单层膜围绕而成(图6-31)。共同特点是内含一至多种依赖黄素(flavin)的氧化酶和过氧化氢酶(标志酶),已发现40多种氧化酶,如L-氨基酸氧化酶,D-氨基酸氧化酶等等,其中尿酸氧化酶(urate oxidase)的含量极高,以至于在有些种类形成酶结晶构成的核心(图6-32)。

图6-31
人肝细胞过氧化物酶体(Ps,没有尿酸氧化酶结晶) 引自《细胞生物学超微结构图谱》1989

图6-32 烟草叶肉细胞的过氧化物酶体(中央具有尿酸氧化酶形成的晶体状核心)
各类氧化酶的共性是将底物氧化后,生成过氧化氢。
RH2+O2→R+H2O2
过氧化氢酶又可以利用过氧化氢,将其它底物(如醛、醇、酚)氧化。
R′H2+H2O2→R′+2H2O
此外当细胞中的过剩时,过氧化氢酶亦可催化以下反应:
2H2O2
→ 2H2O
+ O2
在动物中过氧化物酶体参与脂肪酸的β氧化(另一细胞器是线粒体),大鼠肝细胞过氧化物酶体在服用降脂灵后,酶浓度升高10倍。此外过氧化物酶体还具有解毒作用,因为过氧化氢酶能利用H2O2将酚、甲醛、甲酸和醇等有害物质氧化,饮入的酒精1/4是在过氧化物酶体中氧化为乙醛。
在植物中过氧化物酶体主要有:①参与光呼吸作用,将光合作用的副产物乙醇酸氧化为乙醛酸和过氧化氢,②在萌发的种子中,进行脂肪的β-氧化,产生乙酰辅酶A,经乙醛酸循环,由异柠檬酸裂解为乙醛酸和琥珀酸,加入三羧酸循环,因涉及乙醛酸循环,又称乙醛酸循环体(glyoxysome)。
从系统发生的角度来看,过氧化物酶体可能是一种古老的细胞器,在光合生物出现后,大气中的氧含量逐渐提高,而细胞内的氧对早期的生物具有毒害作用,过氧化物酶体的功能就是消除细胞内的氧,并产生细胞所需要的某些代谢物。虽然在过氧化物酶体中黄素蛋白、氧化酶和过氧化氢酶之间可以形成一个简单的呼吸链,但不起能量转换的作用。后来线粒体产生后就取代了过氧化物酶体的这种功能,并且其电子传递与ATP合成相偶联。
从个体发生的角度来看,过氧化物酶体来源于已存在过氧化物酶体的分裂。过氧化物酶体中所有的酶都由核基因编码,在细胞质基质中合成,在信号肽的引导下,进入过氧化物酶体,引导蛋白质进入过氧化物酶体的信号序列是-Ser-Lys-Leu-COO-。但对于过氧化物酶体膜上与蛋白输入有关的受体和转位因子了解甚少,至少和23种被称为peroxin的蛋白有关,其机理显著不同于线粒体和叶绿体的蛋白转运,如受体Pex5(一种peroxin)是伴随着货物进入过氧化物酶体的,然后再返回细胞质。
Zellweger综合征是一类与过氧化物酶体有关的遗传病,也叫脑肝肾综合征,患者细胞的过氧化物酶体中,酶蛋白输入有关的蛋白质变异,过氧化物酶体是“空的”。脑、肝、肾异常,出生3-6个内后死亡。
|